Estelle Mei Aubert
Thérapie Craniosacrale, Instructeure d'apnée
Dentition, bruxisme et respiration. Quels liens ?
Di 7 Dec 2025

 

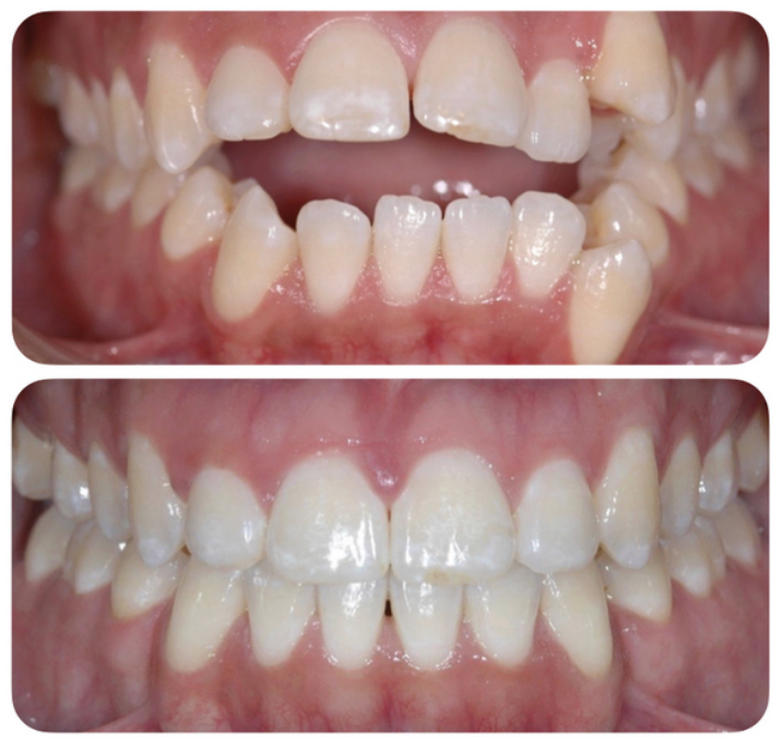
Avant-après l'utilisation d'un activateur: comment récupérer les dégâts d'une lolette classique...sans violence d'un appareil fixe à bagues ni autres barres métalliques

 

Navrée, je ne retrouve plus la source de ces photos...

 

Respirer, mâcher, la forme de notre visage, le bruxisme et douleurs de l'ATM, on peut facilement comprendre le lien avec la thérapie Craniosacrale.

Mais quel est donc le lien entre la forme de la mâchoire, la dentition et la respiration ?
Les trois sont profondément interdépendants — et cela depuis la toute petite enfance.

Une respiration buccale chez un enfant aura un impact décisif sur l’espace disponible pour sa future dentition. Si, pour diverses raisons, un enfant respire par la bouche — difficultés à la naissance, compression du crâne, tensions intracrâniennes perturbant la succion, etc. — plus cette respiration buccale s’installe, plus elle influence la forme des os du visage et de la face, et donc la manière dont les dents se mettront en place.

La manière dont on respire exerce (ou non) des pressions pneumatiques internes, nécessaires à la formation de nos sinus.

La manière dont on déglutit — la force, la direction et la présence de la langue — modèle également les os de la face et du crâne.

Nous avons besoin de la respiration nasale pour que les sinus maxillaires se développent, se creusent et acquièrent leur volume normal. Or, la base de ces sinus est précisément la zone où les dents viennent s’enraciner.

Donc : plus la respiration se fait par la bouche, moins les sinus se développent, car ces derniers ne seront pas correctement pneumatisés, et moins il y aura d’espace pour les dents.

La position de la langue et la qualité de la déglutition jouent elles aussi un rôle essentiel dans la formation du palais, la croissance du maxillaire et la position finale des dents.

Un célèbre dentiste et explorateur passionné, Weston A. Price, est parti pendant des années avec son neveu, écrivain, voyageur et photographe, pour comprendre pourquoi la dentition de l’homme moderne occidental s’était autant déformée depuis l’ère industrielle. Leur travail a révélé un contraste frappant entre les populations indigènes — dont l’alimentation restait traditionnelle — et celles ayant adopté l’alimentation industrielle (Livre mémorable avec des photos étonnantes devenu très influent: Nutrition and physical Degeneration, publié en 1939).

Là où l’alimentation restait naturelle, la mâchoire était large, les dents parfaitement alignées, l’espace abondant.

Là où l’alimentation industrielle s’installait, les dents devenaient serrées, abîmées, et les mâchoires semblaient se rétrécir.

Son hypothèse première était que le sucre était responsable de cette dégradation spectaculaire. Il avait partiellement raison.

Mais des études plus récentes ont mis en évidence un autre facteur, encore plus déterminant : le manque de mastication (Etude comparative du Dr Marianna Evans et Dr Kevin Boyd montre la dentition parfaite des indigènes et crânes anciens des peuplades mangeant des aliments nécessitant une solide mastication).

Notre nourriture moderne est devenue molle. Presque plus rien n’exige un véritable effort de nos mâchoires. Pourtant, la mastication est l’un des stimuli les plus puissants pour le développement et le maintien de la structure faciale. Elle rejoint d’ailleurs l’intuition de certains ostéopathes : les sutures du crâne restent mobiles longtemps, et les os du visage conservent une étonnante capacité à se remodeler.

Les recherches montrent que, grâce aux cellules souches présentes dans ces zones, nos os peuvent continuer à s’agrandir et à créer de l’espace jusqu’à 70 ans au moins — simplement parce que les cobayes étudiés n’étaient pas plus âgés. Rien n’exclut que ce potentiel se poursuive encore plus loin dans l'âge! (cf. Dr Théodore Belphor; Dr Vincent G.Kokich).

En bref

En restant donc pour l'instant depuis ce point de vue matérialiste: 

Plus nous mangeons du mou et respirons par la bouche, plus nos mâchoires ont tendance à se ratatiner.

Les os du visage se modifient : menton fuyant, visage étroit, front aplati, bouche plus petite… et tout cela finit par réduire l’espace des voies respiratoires, et favoriser apnée du sommeil et donc perte du sommeil profond et ses conséquences sur la santé.

À l’inverse, plus nous mâchons des aliments durs, plus nous renforçons les muscles et, surtout, plus nous stimulons ces cellules souches qui permettent de redonner du volume aux mâchoires et de créer de la place pour les dents d'une part, et d'autre part plus nous respirons par le nez depuis notre tendre enfance, plus notre dentition aura la place pour se développer.

Or l'on s'habitue...à trouver normal que presque tous nos enfants doivent porter des appareillages barbares ou les adultes se faire arracher les dents de sagesse et se faire poser des barres rigides bloquant tout mouvements... Sans se poser plus de question ? 

Additionné à cela : 

Dans notre vie moderne, saturée de stress et de sur-stimulations, notre système nerveux se dérègle facilement et reste bloqué dans l’activation excessive du système sympathique.

Conséquence directe : mâchoires crispées, bruxisme, dents serrées, tensions accumulées jusque dans le sommeil.

Mon travail consiste précisément à accompagner la personne pour rééquilibrer son système nerveux, pour réactiver son nerf vague, et permettre à ces réflexes de protection de se relâcher.

La thérapie craniosacrale autant que la respiration thérapeutique sont des outils magnifiques pour cela : elles offrent un espace neutre où le système peut s’autoréguler profondément.

Entre les séances, j’utilise parfois un petit “post-it corporel” : un activateur doux, quelques instants trois fois par jour et la nuit, pour aider la personne à sentir sa mâchoire, relâcher ses tensions et prolonger le travail commencé ensemble. Travailler d'ailleurs sur le crâne, le tube dural et le reste du système craniosacral alors que la personne a son activateur en bouche me parait très utile et puissant. C'est comme si j'ai deux mains en plus pour accompagner l'auto-régulation de la personne. De plus la mémoire du corps aidera la personne à retrouver cet état de ''flow'' entre les deux séances, l'activateur comme une sorte de panneau de direction pour le système : c'est par ici la détente, le laisser être !

Etat que j'aspire également à faire goûter à mes clients  avec mon apnée sensitive™, et mon AquaFlow Thérapie™

Il existe un lien puissant entre la dentosophie, l'orthodontie fonctionnelle et la thérapie craniosacrale : dans les trois cas, on offre un appui neutre, un support non directif autour duquel les mécanismes d’autorégulation peuvent s’organiser.

Dans le craniosacral, ce sont mes mains.

Dans la dentosophie et l'orthodontie fonctionnelle, c’est l’activateur — une forme simple de gouttière souple, non personnalisée, à mémoire de forme, qui invite le système à se rééquilibrer à son propre rythme.

Dans l'humano-dentosophie, le point de vue quant à la transformation est plus holistique : nous sommes invités à faire un pas de côté hors de la limitation mécaniste, pour nous retrouver dans le vaste, où les mots deviennent sans doute trop limitants. 

Ces approches me paraissent profondément complémentaires, même si trouver des dentistes ouverts à cette collaboration n’est pas encore simple.

Évidemment, les effets de ces démarches ne se limitent pas à la corporéité.

Elles peuvent accompagner des mouvements intérieurs profonds, des processus d’individuation ou de transformation, propres à chaque personne et à son histoire.

Il est important de reconnaître qu’un travail sur la mâchoire, sur le souffle et sur les tissus peut avoir des répercussions psycho-émotionnelles puissantes.

Ces zones sont des carrefours sensibles. Quand elles se relâchent, quelque chose en nous peut s’ouvrir, se dénouer, remonter à la surface.

Ce n’est pas tant la matière qui permet le changement (d'ailleurs, l'orthodontie classique, par ex. par bagues, nécessite une barre fixe sinon tout retourne vers l'état de départ). Dans ma vision, c'est d'avantage le point d’appui neutre qui est offert, qui permet à la part plus subtile de l’être de faire son chemin et donc influer la matière. Ainsi elle s'auto-régule à son rythme, sans forcing, et donc maintiendra son évolution seule (sans rajout de barre à demeure, inconfortable dans la bouche).

Dès que l’on crée un espace de contemplation, de silence, de pause, de “laisser être” — que ce soit par la mâchoire, le souffle ou le craniosacral — on revient à son centre, à ce lieu où le nerf vague peut alors s’activer, où le parasympathique peut prendre sa place, où le yin adoucit le yang : ne serait-ce pas les moyens physiques que trouve le Silence pour s'incarner dans nos vies ? 

Alors des prises de conscience émergent.

Une ouverture se fait.

Et parfois, la sensation d’enfin respirer au large s'ouvre à nous...

Je ne demande évidement pas de croire, mais plutôt d'expérimenter.